Protocolo Fotográfico

Fonte: e-book "Fogorafia Odontológica em 4 Passos" do Cirurgião Dentista e Smile Designer, Eduardo Tanajura.

 
 
 
 

Fotos da face

 

Fotos do sorriso

 

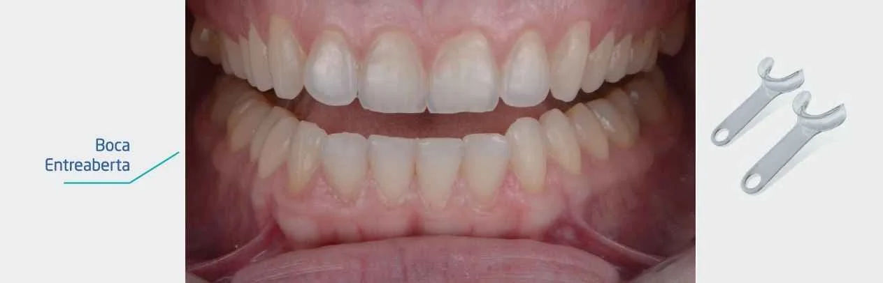
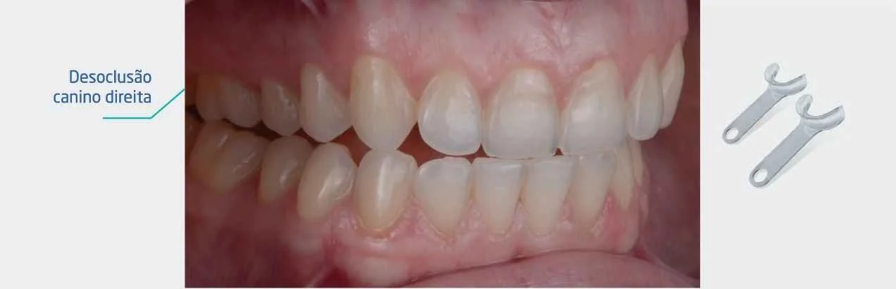
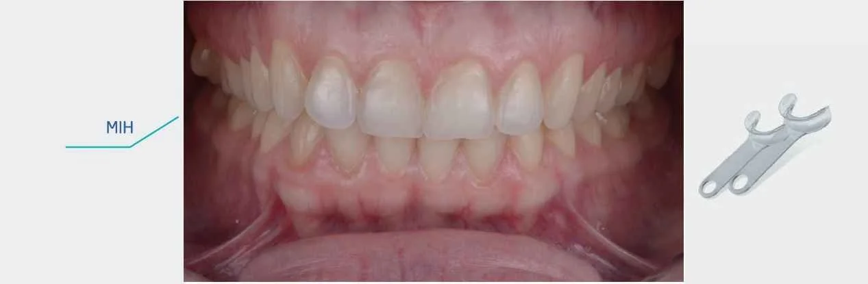
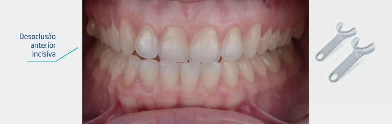
Fotos intra orais

 

Fotos oclusais